Sci论文 - 至繁归于至简,Sci论文网。 设为首页|加入收藏
当前位置:首页 > 医学论文 > 正文

TACE联合放射性碘125粒子植入及甲磺酸阿帕替尼治疗原发性巨块型肝癌1例论文

发布时间:2020-09-03 11:26:44 文章来源:SCI论文网 我要评论














SCI论文(www.lunwensci.com):

关键词:TACE;碘125粒子;甲磺酸阿帕替尼;原发性肝癌

本文引用格式:陈丽,张小灵,尹刚.TACE联合放射性碘125粒子植入及甲磺酸阿帕替尼治疗原发性巨块型肝癌1例[J].世界最新医学信息文摘,2019,19(93):290-291.

0引言

原发性肝癌是目前我国第四位的常见恶性肿瘤及第三位的肿瘤致死病因,严重威胁我国人民的生命和健康[1,2]。根据2010年我国肿瘤注册数据,肝癌的发病率达27.29/100 000,病死率达23.76/100 000,跃居全球第一[3]。近年来肝癌的治疗已经有了很大的进展,治疗手段包括外科手术治疗、微创治疗、TACE和靶向治疗等在一定程度上提高了肝癌的治疗效果,但是晚期原发性肝癌患者的总体预后仍很差,如果仅仅给予最佳支持治疗(best supportive care),欧美患者的平均生存时间为6~9个月,而亚洲患者(除日本外)的生存期仅仅3~4个月[4]。为了在目前的治疗方式中探索更好的效果,更优的组合,针对该例巨块型肝癌患者,我科在TACE联合阿帕替尼的基础上给予放射性碘125粒子植入治疗,取得较好的治疗效果,无病生存期接近2年。现报告如下:

\

 
1临床资料

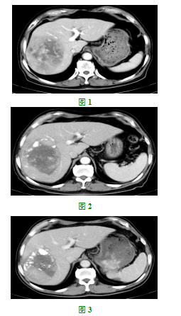
患者,男,70岁,因“乏力、纳差、肝区疼痛4+月”于2017年04月13日入院,患者既往有乙肝病毒携带病史20+年,PS1分,查体:肝脏肋下约3cm,质硬,边缘钝,触痛,肝区叩痛阳性,移动性浊音阴性。入院行上腹部增强CT提示:肝右叶见大小约11.6*8.4cm椭圆形低密度块影,增强扫描亦有强化,块内非均匀性强化,意见:肝硬化,肝右叶块影并强化以肝癌可能。(见图1)AFP9.40ng/mL,血清总胆红素5.3umol/l,血清白蛋白41.4g/l,凝血酶原时间13.7秒,同时完善胸部增强CT,未发现确切肺部转移灶等。根据《原发性肝癌诊疗规范(2017年版)》,有乙型肝炎或丙型肝炎,或者有任何原因引起肝硬化者,对于发现肝内直径>2cm的结节,则动态增强MRI、动态增强CT、超声造影及普美显动态增强MRI四项检查中只要有一项有典型的肝癌特征,即可临床诊断为肝癌[5]。故该患者诊断:原发性巨块型肝癌。Child-Pugh分级A级,因患者肿块很大,且合并肝硬化,经肝胆外科会诊后不建议手术切除,故于2017年4月18日、2017年5月22日行第一次、第二次肝癌TACE治疗,两次介入治疗后复查增强CT(2017.6.26):肝脏外缘凹凸不平,肝脏右叶见大小约11.7*8.7cm团块状影,边界部分不清,其内见部分碘油沉积,肿块大小较前对照未见明显变化,增强后肿块内可见实性成分强化,并见大片坏死灶未见强化。

(见图2),有再次介入治疗指针,于2017年6月27日、2017年8月16日行第三次、第四次肝癌TACE治疗。四次介入结束后,患者于2017年10月23日来院复查增强CT:肝脏外缘凹凸不平,肝脏右叶见大小约9.8*7.0cm团块状影,边界部分不清,其内见部分碘油沉积,肿块大小较前对照略有缩小,增强后肿块内可见实性成分强化,并见大片坏死灶未见强化。肝左叶散在分布多个0.3-0.6cm低密度无明显强化结节影,部分系囊肿,部分性质待定。(见图3),AFP6.90ng/mL。患者目前肿瘤无增大,无解剖性肝叶切除指针,目前肿瘤区碘油沉积情况尚可,但肝左叶有散在结节,不排除肿瘤肝内转移可能,目前无继续介入治疗指针。结合我国自主研发的抗血管生成靶向药物甲磺酸阿帕替尼的临床研究,该药与治疗肝癌的甲苯磺酸索拉菲尼片作用机理类似,且有大量的临床数据支持在肝癌方面的应用,在充分征求患者及家属同意的情况下,于2017年10月25日开始口服艾坦(甲磺酸阿帕替尼)250mg po qd治疗,治疗期间患者出现尿蛋白++,血压增高,给予降血压治疗后恢复,治疗1月后于2017年11月27日行增强CT:较2017年10月23日CT片对照,肝脏肿块未见明显变化,肝左叶散在分布多个0.3-0.6cm低密度无明显强化结节影,部分系囊肿,部分性质待定。较前未见变化,随访。AFP4.90ng/mL。临床疗效评价为SD。继续口服该药。2018年01月08日行增强CT:肝脏外缘凹凸不平,肝脏右叶团块状影大小约10*7.0cm,边界部分不清,其内见部分碘油沉积,增强后肿块内可见实性成分强化,并见大片坏死灶未见强化。(见图4),患者肿瘤稍缩小,未达到PR,且一直有强化,肿瘤供血,经全科讨论后,制定B-TPS计划,于2018年01月23在CT引导下行放射性碘125粒子植入治疗,共植入碘125粒子30粒,肿瘤周边剂量为140Gy,粒子表面活度为0.8mCi。2018年02月27日复查增强CT提示为SD,故于2018年03月07日再次在CT引导下行放射性碘125粒子植入治疗,再次植入碘125粒子30粒,肿瘤周边剂量为140Gy,粒子表面活度为0.8mCi。患者继续口服艾坦,2018年07月02日复查增强CT:肝脏外缘僵硬,凹凸不平,肝右叶低密度影,大小约6.4*6.0cm,增强边缘显示清楚,动脉期见片状强化,静脉期亦见明显片状强化。提示部分肿瘤仍存在动脉供血。(见图5),临床疗效评价为PR。结合患者现在的情况,我们又组织科内讨论,于2018年07月20日又行TACE治疗一次,经上述治疗后患者继续口服艾坦治疗,至2018年12月03日复查增强CT临床疗效评价为SD。(见图6),患者一般状况佳,PS评分0分,无肝区疼痛等不适,肝功能正常。继续口服艾坦治疗中。



\

\
 

2讨论

原发性肝癌严重威胁人们健康,早期手术仍然是当前HCC患者主要的治疗手段,但HCC患者早期往往无明显症状,不容易引起重视,确诊时大多已处于中晚期,仅有不足1/5的患者能够实施外科手术治疗[6]。根据目前发病的现状,治疗手段有限。TACE是目前应用比较广泛的治疗HCC的新技术,可使肿瘤缺血、坏死,甚至缩小到适应手术切除[7],碘油经肝动脉注人后,主要沉积于瘤血管、肝窦和附近肝组织内,肿瘤内碘油的清除较其临近肝组织慢,能有效减少肝组织的血供,碘油能较长时间滞留在肿瘤局部,使肿瘤缺血、缺氧而发生凝固坏死。并且肿瘤内碘油沉积越多,肿瘤坏死的程度越高,在无碘油沉积区或少碘油沉积区,肿瘤残留的活性成分较多[8-9],TACE虽然可阻断肿瘤的血液供应通路,但另一方面也对新生血管生成产生推动作用,从而形成侧支循环,这可能是TACE治疗后大多数肿瘤结节不完全坏死的原因之一[10]。通过以上分析,单纯通过TACE治疗并不能达到理想的治疗效果,联合多种方式治疗肝癌,并积极探索个性化的治疗是目前的治疗趋势。

肿瘤血管生成是肿瘤生长和转移的关键环节之一,肿瘤组织需依赖新生血管提供的氧气和营养物质来满足肿瘤细胞不断扩增的需要,因此对于肿瘤血管的干预能够有效抑制肿瘤的生长[11]。VEGF是目前已知功能最强的血管生成因子,通过与其受体结合后发挥作用,能显著促进血管内皮细胞增殖。甲磺酸阿帕替尼片能与VEGFR-2酪氨酸激酶的ATP特异性结合,促使酪氨酸激酶失活,阻止VEGF与VEGFR-2相结合,减少VEGF的生成,发挥抑制新生血管生成的作用。据报道,采用TACE治疗的患者VEGF的表达水平显著高于非TACE治疗[12]。根据大量的临床研究数据,该患者在四次TACE治疗后给予口服甲磺酸阿帕替尼片,正是基于上述原理,但是患者经口服该药后,虽然肝区疼痛缓解,肝功能正常,肿瘤没有增大,但并没有达到理想的肿瘤缩小的目的,我们始终担心肿瘤的快速爆发性增长,根据患者较好的体质状况,我们继续探索。

放射治疗是恶性肿瘤治疗手段之一,包括传统外照射治疗及新兴的组织间近距离放射治疗两种,碘125粒子组织间植入属于近距离内放射治疗的一种。因其具有持续发出短距离射线,最大程度杀伤肿瘤组织、对正常组织不损伤或轻度损伤的特点备受关注[13]。TACE联合碘125粒子可被运用于乏血供肿瘤,或存在较多侧支循环以及TACE术后碘油沉积不佳的患者。有些患者行TACE术后碘油沉积不佳,但在植入碘125粒子后再次行TACE,碘油沉积明显好转。Peng等研究显示,在TACE+碘125粒子组患者的部分缓解率较单纯TACE组高,且中位生存时间也较TACE组延长了3.4个月[14]。该患者在行四次肝癌的TACE治疗后,并且口服甲磺酸阿帕替尼片,但复查肿瘤仍有血供,基于上述研究,我们采用碘125粒子分次植入患者肝脏肿块内,达到持续抗肿瘤治疗目的,经过以上治疗,肿瘤明显缩小,但由于存在少量供血,故又补充一次肝癌TACE治疗,达到PR后患者复查一直处于稳定,且一般状况良好。该病例截至目前已生存接近两年,远远超过部分手术切除的患者,通过该病例,我们意识到肝癌虽然是癌中之王,但只要我们有信心,充分利用我们手中的“武器”,也可以把“敌人”抑制住,达到长期高质量的生存。但是一个病例的成功并不足以说明普遍的现象,在以后肝癌的治疗中,需要多个病例进行相关的积累和探讨,以期取得有效合理的综合治疗效果。

参考文献

[1]Torre LA,Bray F,Siegel RL,et al.Global cancer statistics,2012[J].CA Cancer J Clin,2015,65:87-108.
[2]Chen W,Zheng R,Baade PD,et al.Cancer statistics in China,2015[J].CACancer J Clin,2016,66:115-32.
[3]陈万青,张思维,曾红梅,等.中国2010年恶性肿瘤发病与死亡[J].中国肿瘤,2014,23(1):1-10.
[4]Siegel RL,Miller KD,Jemal A.Cancer statistics,2016[J].CA Cancer J Clin,2016,66(1):7-30.
[5]吴孟超,汤钊猷,等.原发性肝癌诊疗规范(2017年版)[J].消化肿瘤杂志,2017,12(9):215.
[6]Schwartz M,Roayaie S,Konstadoulakis M.Strategies for the management of hepatocellular carcinoma[J].Nat Clin Pract Oncol,2007,4(7):424-432.
[7]Liang HY.Triple strategies of Sorafenib combined with chemoembolization and radiofrequency ablation for large,unresectable hepatocellular carcinomas:a pilot study[D].Guangzhou:Southern Medical University,2013.
[8]Choi B I,Kim HC,Han JK,et al.Therapeutic effect of transcatheter oilychemoembolization therapy for encapsulated nodular hepatocellular carcinoma:CT and pathologic findings[J].Radiology,1992,182(3):709-713.
[9]Staonton M Dodd JD.MoCormick PA.et al.Finding evidencebased answers to practical question in radiology:which patients with inoperable hepatocellular carcinoma will survive longer afteransarterial chemoembolization?[J].Radiollogy,2005,237:404-413.
[10]Li JH,Xiao EH.Progress in transcatheter arterial chemoembolization for hepatocellular carcinoma[J].Int J Med Radiol,2011,34(6):554-558.
[11]宋锦添,陈奕贵,许春伟,等.阿帕替尼治疗53例晚期原发性肝癌的疗效[J].临床与病理杂志,2017,37(3):561.
[12]李威,满文玲,郭欢庆,等.TACE联合甲磺酸阿帕替尼治疗中晚期肝癌的临床研究[J].肿瘤药学,2017,7(1):77.
[13]王俊杰.放射性粒子治疗肿瘤临床应用规范[M].北京:北京大学医学出版社,2011:169-177.
[14]江旭,杨继金,李慧.碘-125粒子植入近程放疗在肝胆胰恶性肿瘤中的应用[J].临床肝胆病杂志,2016,32(12):2301.


关注SCI论文创作发表,寻求SCI论文修改润色、SCI论文代发表等服务支撑,请锁定SCI论文网!
文章出自SCI论文网转载请注明出处:https://www.lunwensci.com/yixuelunwen/23170.html

发表评论

Sci论文网 - Sci论文发表 - Sci论文修改润色 - Sci论文期刊 - Sci论文代发
Copyright © Sci论文网 版权所有 | SCI论文网手机版 | 鄂ICP备2022005580号-2 | 网站地图xml | 百度地图xml