SCI论文(www.lunwensci.com):
摘要:目的了解ANCA相关血管炎(ANCA-associated vasculitis, AAV)合并间质性肺炎(interstitialpneumonia,IP)患者的临床特征与预后。 方法 回顾性分析2014年1月至2018年1月我院46例符合AAV诊断,将同时符合IP诊断的19例患者定义为AAV-IP组,无肺脏间质性改 变及肺泡出血的27例AAV患者列为AAV-N组,分析两组间的临床特征及预后。采用Mann-Wh血ey U检验、McNemar检验、Kaplan-meier 法进行统计分析。结果①AAV-IP、AAV-N两组间年龄(Z=-L040『=0.298)、性别(£=0.830,户=0.362)上差异无统计学意义;临床表现上, 呼吸困难(£=4.535,户=0.033)、咳嗽(
x2= 11.529,^=0.001)更常见于AAV-IP组;实验室检查上,AAV-IP组患者的蛋白尿/血尿/管型尿(c2=2.052, 户=0.152)、WBC (Z=-1.796,户=0.073)、Cr (Z=-1.339,户=0.181)、CRP (Z=-1.752, P=0.080)、ESR (Z=-1.897,户=0.058)指标分布与 AAV- -N组类似。②AAV-IP组中患者间质性改变包括:肺网格状、蜂窝肺及毛玻璃影,少数合并胸膜增厚、支气管扩张、结节、胸腔积液等;而对 照组中肺部HRCT表现有支气管扩张、结节、胸腔积液。③AAV-IP死亡率高于AAV-N组,差异有统计学意义(£=5.027,户=0.025)。结论 AAV患者中出现IP是常见的,IP可先于AAV发生,合并IP的AAV患者预后往往更差。
关键词:ANCA相关血管炎;间质性肺炎
本文引用格式:王国庆,钱龙,程琳,等.ANCA相关血管炎合并间质性肺炎的临床特征分析[J].世界最新医学信息文摘,2019,19(30):43-44.
Analysis of Clinical Features of ANCA Associated Vasculitis with Interstitial Pneumonia
WANG Guo-qing, QIAN Long*, CHENG Lin, XU Zhou-zhou, LI Dong-xu
(Department ofRheumatology and Immunology, the Second Affiliated Hospital of Anhui Medical University,Hefei Anhui)
ABSTRACT: Objective To investigate the clinical characteristics and prognosis of ANCA-associated vasculitis(AAV) with interstitial pneumonia(IP). Methods A retrospective analysis was performed on 46 patients who were diagnosed with AAV in our hospital from January 2014 to January 2018 and were complicated with renal damage. Patients who also met the diagnosis of IP were defined as AAV-IP group, and 27 AAV patients without pulmonary involvement in vasculitis were classified as AAV-N group, and the clinical characteristics and prognosis were analyzed between two groups. Mann-whitney U test, McNemar test and kaplan-meier method were used for statistical analysis. Results No statistically significant difference about age and gender were detected between AAV-IP and AAV-N groups, and dyspnea was more common in the AAV-IP group. Urine routine, white blood cell, creatinine, C reactive protein and erythrocyte sedimentation rate in AAV-IP group were similar to AAV-N group. Our results showed reticular, honeycomb lung and ground-glass shadow were found on HRCT in AAV-IP patients. In the control group, bronchiectasis, nodules and pleural effusion might be existed on HRCT. Moreover, the mortality rate of AAV-IP patients was significantly higher than that of AAV-N group. Conclusion IP is common in AAV patients and it even can occur before AAV. Whafs more, AAV patients with IP often have worse prognosis.
KEY WORDS: ANCA-associated vasculitis; Interstitial pneumonia
0引言
ANCA 相关血管炎(ANCA-associated vasculitis, AAV )是 一组累及小血管并引起多系统损害的自身免疫性疾病,其中以 肾脏和肺部损害最为常见。AAV肺部损害包括反复肺泡出血导 致的间质性肺炎(Interstitial pneumonia, IP )
o对于AAV患者, 在临床上我们常可观察到快速进展的急进性肾小球肾炎,而往 往忽视了肺部病变。因此,近年有研究报道IP是一种被忽视的 AAV的临床表现⑴。国外曾有报道指出IP是造成AAV预后不 良的危险因素⑵。然而,目前关于IP在AAV中的发病率及其 对AAV的预后有无影响尚无达成共识。因此,本研究主要探讨 AAV患者中IP的患病率、临床特点及对预后的影响。
1资料与方法
1.1研究对象
收集安徽医科大学第二附属医院2014年1月至2018年1 月住院期间诊断符合2012年Chapel Hill会议制定的AAV诊断 标准闵,将同时符合2002年ATS/ERS制定的IP诊断标准⑷的 17例患者定义为AAV-IP组,无肺泡出血及肺间质病变的27例 AAV患者列为AAV-N组。
1.2临床资料
一所有病例均记录治疗前有无发热、咳嗽、呼吸困难,实验室 指标包括血沉(erythrocyte sedimentation rate, ESR )、C 反应蛋白 (C reactive protein, CRP )、肌ffF、尿常规、动脉血气分析。ANCA 采用ELISA法检测,ESR采用魏氏法测定,CRP采用比浊法,肌 SF采用酶法测定,尿常规采用显微镜镜检,所有患者治疗前后均 完善肺高分辨CT ( high-resolution CT, HRCT)检查。详细记录 糖皮质激素的用量和使用免疫抑制剂的时间及预后。
1.3统计学处理
采用SPSS 19.0统计分析软件进行数据分析,计量资料均 以中位数(第25百分位数,第75百分位数)表示,采用Mann- Whitney U检验;两组间定性资料比较米用McNemar检验;利用 Kaplan-meier法作生存曲线,P<0.05被认为有统计学意义。
2结果
2.1各组间临床资料对比
AAV-IP与AAV-N两组之间临床资料对比见表lo 19例 AAV-IP患者中,均为MPO-ANCA阳性,其中1例同时合并有 PR3-ANCA 阳性。27 例 AAV-N 患者中,26 例为 MPO-ANCA 阳 性,1例 为PR3-ANCA阳 性。AAV-IP组 与AAV-N组 的 中位年龄分别为70岁、64岁,两组间年龄没有显著差异(Z=- 1.040,^=0.298 )。AAV-IP组与AAV-N组男女性别比例分别为 13:4.18:9,其差异无统计学意义(x
2=0-830,P=0.362 )
o在临床 表现上,呼吸困难在AAV-IP组和AAV-N组所占的比例分别 为35,2%.7.4%,两组间差异显著(f=4.535,阵0.033 );咳嗽在 AAV-IP 组所占比例显著高于 AAV-N 组(x
2=l 1.529,^=0.001 ); 而发热(
z2=3.414,P=0.065 )在两组间分布无显著差异。实验室 检查方面,两组间蛋白尿/血尿/管型尿("=2.052,阵0.152 )、 白细胞计数(Z=-1.796,阵0.073 )、肌SH Z=-1.339,阵0.181 )、 CRP ( Z=-1.752,阵0.080 )及 ESR ( Z=-1.897,阵0.058 )差异 均无统计学意义,两组间动脉血气分析包括PH、PaO2、PaCO2 及SaO2指标在内也无显著差异。
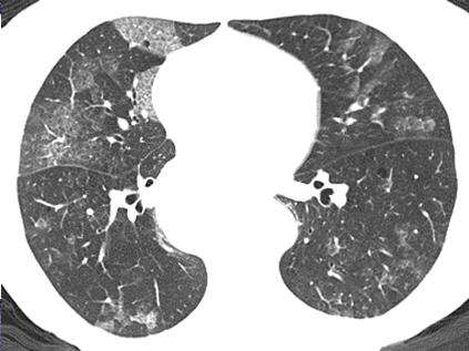
AAV-IP组中,16例患者胸部HRCT表现为网格状合并胸 膜增厚(其中4例合并蜂窝肺及磨玻璃影改变),1例为网格状合 并支气管扩张及蜂窝肺,余2例表现为蜂窝肺及毛玻璃影合并 胸膜增厚改变;而对照组患者中8例胸部HRCT表现为支气管 扩张(其中2例合并结节,1例合并胸腔积液)、6例患者为胸腔 积液,5例患者表现为结节,余8例患者肺部未见异常表现。 2.2治疗及预后对比
AAV-IP组中,100%( 19例)患者接受了糖皮质激素的治疗, 其中94.1% ( 16例)患者联合使用了免疫抑制剂,其随访情况同 上;AAV-N组中,100% ( 27例)患者同样接受了糖皮质激素的 治疗,其中88.9%(24例)联合使用了免疫抑制剂,其随访时间为2-69个月,中位时间17个月
o AAV-N组随访过程中共死亡 1例,死因为急性肾衰竭,其余26例患者存活并定期治疗。采用 Kaplan-meier法作生存曲线对比见图1,两组间死亡率差异有统 计学意义(%
2=5.027,P=0.025 )
0
3讨论
ip是一组病因多样的肺部疾病,其与血管炎的关系成为目 前关注的重点。在我们研究的46例AAV患者中合并IP的占 41.3%,提示在AAV中合并IP的患者并不少见,这与近年的统 计数据基本一致⑸。在临床表现上,与既往的报道类似⑹,呼吸 困难、咳嗽更多见于AAV-IP组。既往报道AAV肾脏受累表现 可表现为无症状仅有尿常规异常,也可为坏死性肾小球肾炎⑹, 我们研究的44例AAV患者,其中91.3%(42例)患者起病时 已有蛋白尿、血尿、管型尿表现(AAV-IP组16例,AAV-N组26 例),两组间肌酊水平及尿常规差异无统计学意义,提示肾脏损 害差异与其是否累及肺脏可能无明显关系。此外,AAV-IP患者 与对照组间ESR、CRP水平均升高,两组间无明显差异,结合既 往报道,ESR、CRP指标升高可能与血管炎病情活动有关⑺,而 与疾病累及部位无关。曾有报道合并IP的AAV患者行动脉血 气分析与无肺间质损害的AAV患者类似⑺,我们研究结果与此 一致。另外既往关于AAV的统计表明,大多患者肺部HRCT及 病理检查均表现为典型的UIP模式⑻,即网格状、胸膜下蜂窝状 等改变,这与我们AAV-IP组的统计结果相似。
目前关于AAV的治疗,常推荐使用糖皮质激素联合环磷酰 胺,在我们的研究中,两组间治疗方式无明显差异,与既往系列 报道类似El。Yamagata M⑼等人统计日本150例AAV患者, 发现影像学上表现为肺间质病变的患者预后更差,欧洲也有类 似统计表明AAV合并IP的患者,其死亡率明显高于未累及肺部 的AAV患者⑵,我们的统计结果发现AAV-IP患者的生存率显 著低于AAV-N组,进一步提示IP可能为影响AAV患者生存期 的危险因素。因此,完善肺部CT对AAV患者病情评估及判断 其预后有重要意义。
既往有类似报道36% ( 12例)的IP患者岀现在AAV明确 诊断之前,其时间跨度为10年⑺。近年也有报道初始诊断特发 性间质性肺炎(idiopathic interstitial pneumonia,IIP )的患者在 随访过程中发展为AAV,提示IIP可引起ANCA阳性转化,甚至 发展为AAVno]0我们研究结果提示AAV-IP组其中3例患者以 胸闷及呼吸困难起病,第一例患者起病时检测ANCA阴性,肺部 CT可见支气管稍扩张、网格状改变,曾诊断支扩,予以抗感染、 舒张支气管等治疗,后因肌酊升高,复查ANCA阳性同时岀现蛋 白尿及管型尿诊断为AAV,后经积极治疗病情稳定;另两例患 者胸闷症状分别长达5年、10年,既往查ANCA阴性,肺CT表 现类均为肺气肿、肺间质改变,包括网格状、小叶间隔增厚、牵拉 性支气管扩张等,均诊断为慢性阻塞性肺病并多次接受抗感染、 氧疗、支气管扩张剂等治疗,在后续岀现反复发热及肌痛症状后 再次就诊明确为AAV,入院后经大剂量激素冲击+环磷酰胺积 极治疗后效果不佳,分别死于急性肾衰竭及呼吸衰竭。因此,以 IIP起病患者,在随访过程中除关注肺部病变外,也应定期检测 ANCA,因为其在疾病发展过程可能向AAV发生转化。

总体来看,在临床上,AAV患者岀现IP是常见的,其是AAV 预后不良的重要指标,需要积极治疗干预。对初始表现为IP的 患者,应积极排查病因(包括ANCA等指标),在后续随访中应警 惕其向AAV转化。
参考文献
[1] Yamada H. ANCA-associated lung fibrosis [J].Semin Respir Crit Care Med,2011 ,32(3):322-327.
[2] Schirmer JH, Wright MN, Vonthein R, et al. Clinical presentation and longterm outcome of 144 patients with microscopic polyangiitis in a mono centric German cohort [J]. Rheumatology (Oxford),2016,55(1):71-79.
[3] Jennette JC, Falk RJ, Bacon PA, et al. 2012 revised International Chapel Hill Consensus Conference Nomenclature of VasculitidesQ]. Arthritis Rheum, 2013,65 (1):1-11.
[4] American Thoracic Society; European Respiratory Society. American Thoracic Society/European Respiratory Society Internationa 1 Multidisciplinary Consensus Classification of the Idiopathic Interstitial Pneumonias Q] .Am J Respir Crit Care Med,2002,165(2):277-304.
[5] K a g i y a m a N , T akayanagi N , K a n a u c h i T, e t a 1 . Antineutrophil cytoplasmic antibody-positive conversion and microscopic po lyangiitis development in patients with idiopathic pulmonary fibrosisQ]. BMJ Open Respir Res,2015 ,2⑴:e000058.
[6] Fernandez Casares M, Gonzalez A, Fielli M, et al. Microscopic polyangiitis associated with pulmonary fibrosis [J]. Clin Rheumatol,2015,34(7):1273-7.
[7] Tzelepis GE, Kokosi M, Tzioufas A, et al. Prevalence and outcome of pulmonary fibrosis in microscopic polyangiitis Q]. Eur Respir J,2010,36(1): 116-21.
[8] Katsumata Y, Kawaguchi Y, Yamanaka H. Interstitial Lung Disease with ANCA-associated VasculitisQ]. Clin Med Insights Circ Respir Pulm Med,2015 ,9(Suppl l):51-6.
[9] Yamagata M, Ikeda K, Tsushima K, et al. Prevalence and Responsiveness to Treatment of Lung Abnormalities on Chest Computed Tomography in Patients With Microscopic Polyangiitis:A Multicenter,Longitudinal,Retros pective Study of One Hundred Fifty Consecutive Hospital-Based Japanese Patients [J]. Arthritis Rheumatol, 2016,68(3):713-723.
[10] Oiwa H, Ooi K, Oyama T, et al. Idiopathic Interstitial Pneumonia as a Possible Cause of Antineutrophil Cytoplasmic Antibody-Associated Vasculitis: A Case Report [J]. Arch Rheumatol,2018 ,33(1):89-92.
关注SCI论文创作发表,寻求SCI论文修改润色、SCI论文代发表等服务支撑,请锁定SCI论文网!
文章出自SCI论文网转载请注明出处:https://www.lunwensci.com/yixuelunwen/5190.html