Sci论文 - 至繁归于至简,Sci论文网。 设为首页|加入收藏
当前位置:首页 > 医学论文 > 正文

颌骨骨岛影像学表现分析及回顾研究论文

发布时间:2024-12-19 14:56:01 文章来源:SCI论文网 我要评论














  摘要:目的探讨颌骨骨岛的影像学表现。方法本文对2022年6月—2023年5月在本院就诊的63例颌骨骨岛患者的根尖片、全景片及锥形束CT(CBCT)影像资料进行影像学表现分析,并对相关文献进行回顾,总结颌骨骨岛的影像学诊断和鉴别要点。结果颌骨骨岛有其独特的影像表现,CBCT对临床中颌骨骨岛的诊断和鉴别具有重要意义。结论CBCT对颌骨骨岛的诊断具有重要意义,是主要诊断手段之一。
 
  关键词:颌骨,骨岛,特发性骨硬化,CBCT
 
  0引言
 
  颌骨骨岛(Bone Island)亦称特发性骨硬化、内生骨疣、骨质象牙质化[1],是一种在松质骨内出现的成熟致密骨的病变[2]。这种病变反映了在软骨内化骨过程中所发生的发育错误[3]。颌骨骨岛的病因尚不明确,一些学者指出可能与异常应力、乳牙残根吸收后的骨修复、颌骨本身的结构异常等因素有关[4-5]。临床上,颌骨骨岛患者通常无任何主观症状,无病原牙,牙髓活力正常。这种病变通常是在进行常规X线检查时被偶然发现的,且任何骨骼都可能发生。骨岛可能对正畸牙移动和牙齿种植产生影响,因此应给予足够的重视。为了进一步加深对颌骨骨岛的认识,本文对2022年6月—2023年5月在本院就诊拍摄X线片时发现颌骨骨岛的63名患者的根尖片、全景片和锥形束CT(cone beam CT,CBCT)影像资料进行影像学表现分析,并对相关文献进行回顾,总结颌骨骨岛的影像学诊断和鉴别要点,旨在为口腔临床医师提供参考,以便更好地识别和理解骨岛。
 
  1资料与方法

       1.1一般资料
 
  选取2022年6月—2023年5月在本院就诊的63例颌骨骨岛患者的影像资料,对其进行影像学表现分析,并随机选出4例患者的颌骨骨岛X线片,进行颌骨骨岛的影像学表现描述,以上4例患者包括2例男性和2例女性,年龄为22~55岁。经过严格的医学观察得知,所有患者在接受诊疗过程中,均未出现与骨岛相关的主观症状。这些患者的颌骨骨岛通常是在进行常规X线检查以诊断其他口腔问题时,被偶然发现的。
 
  1.2检查方法
 
  1.2.1根尖片拍摄
 
  患者坐于专用座椅上,座椅呈水平位,背托呈垂直位。患者坐在椅子上呈直立姿势,头部靠在头托上,矢状面与地面垂直,采用分角线投照技术投照。使用牙科X光机(生产厂家:西诺德牙科设备公司;型号:HELIODENT PLUS D3507;投照参数:60kV,7mA;曝光时间:0.20s)发射X射线,透过组织后在2号数字化影像板(德国迪珥)上形成潜影,放入CR扫描仪(德国迪珥),用激光束对影像板进行扫描,读取信息,经模/数转换后生成数字影像。
 
  1.2.2全景片拍摄
 
  患者站立,双手抓住把手,目视前方,上下中切咬在定位槽内,调整定位线。使用口腔全景机(生产厂家:韩国威秦股份有限公司;型号:Pax-400C;投照参数:68kV,8mA;曝光时间:8s)拍摄,生成数字化图像。
 
  1.2.3 CBCT拍摄
 
  患者站立,双手抓住把手,目视前方,上下中切咬在定位槽内,调整定位线。CBCT设备(生产厂家:法国赛福徕集团;型号:hyperion X9;投照参数:90kV,10mA;曝光时间:9s)拍摄,生成数字化图像。
 
  2结果
 
  2.1颌骨骨岛分布特点
 
  63例颌骨骨岛患者影像资料中,共发现骨岛81个。骨岛多为单发,其中单发者48例(76.2%),多发者15例(23.8%)。在多发者中,有4例患者发现有2处骨岛,1例患者发现有3处骨岛;本组81个骨岛中,相比上颌,下颌较为多见(表1)。上颌主要好发部位为前磨牙区,而下颌主要好发部位为前磨牙区和磨牙区(表2)。
 
 \
 
  2.2影像学表现
 
  本文从63例患者中随机选出4名患者的颌骨骨岛X线片,进行颌骨骨岛的影像学表现描述。
 
  例1患者,女,24岁。根尖片显示:左下颌第二前磨牙根尖与左下颌第一磨牙根尖之间骨髓腔内骨小梁增粗,呈现为一圆形磨玻璃状、均匀的团块高密度影。许多骨刺呈放射状向四周发出,边缘呈毛刷状、羽毛状。该高密度影与左下颌第一前磨牙牙根似有粘连,但周围骨质密度未见明显异常改变(图1)。
 
  例2患者,女,55岁。全景片显示:左下第二磨牙根尖与第三磨牙根尖之间、右下第一磨牙根尖与第二磨牙根尖之间分别可见一圆形磨玻璃状、均匀的团块高密度影。影像边缘较光滑,与周围正常骨组织分界清晰。未见与周围牙齿牙根明显粘连,周围骨质密度未见明显异常改变(图2)。
 
  例3患者,男,26岁。CBCT重建全景片及水平位和矢状位显示:左下尖牙根尖下方可见一圆形磨玻璃状、均匀的团块高密度影,有许多骨刺呈放射状向四周发出,边缘呈毛刷状、羽毛状。高密度影与左下颌第一尖牙牙根、颊舌侧骨皮质均有粘连,但周围骨质密度未见明显异常改变(内生骨疣型,图3)。

\
 
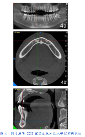
  例4患者,男,32岁。CBCT重建全景片及水平位和矢状位显示:右下尖牙根尖下方可见一圆形磨玻璃状、均匀的团块高密度影,有许多骨刺呈放射状向四周发出,边缘呈毛刷状、羽毛状。影像显示其与周围牙齿牙根、颊舌侧骨皮质均未见明显粘连,周围骨质密度未见明显异常改变(中央硬化型,图4)。

\
 
       2.3影像学分型分析
 
  在81个骨岛中,内生骨疣型45个(55.6%),中央硬化型36个(44.4%),中央硬化型少于内生骨疣型。
 
  3结论
 
  经过对大量X线片数据的深入研究,确认CBCT三维成像在颌骨骨岛的诊断中,相较于根尖片和全景片,具有显著且不容忽视的优势。CBCT能从多个方向直观地显示颌骨骨岛的立体解剖形态,包括骨岛的大小、形状、边缘特征、与邻近牙齿和骨结构的关系,对于任何类型的颌骨骨岛,都能达到清晰、直观的效果。
 
  CBCT在颌骨骨岛诊断中的重要意义不仅表现在诊断准确性上,CBCT还有助于分析骨岛对牙齿种植、正畸治疗的影响,以及评估患者的预后。此外,CBCT能够辅助鉴别颌骨骨岛与其他类似病变(如骨纤维异常增生、骨瘤等),有助于制定更为精确的治疗方案。总之,CBCT是颌骨骨岛诊断的主要手段之一,对于提高诊断准确性和指导临床治疗具有重要价值。然而,在实际应用中,医生仍需结合患者的临床表现和其他辅助检查综合分析,以确保最佳的诊断和治疗效果。
 
  4讨论
 
  4.1骨岛的临床特征
 
  临床上患者一般无任何主观症状,也无病原牙,牙髓活力正常,骨岛通常是常规X线检查时偶然发现的,任何骨骼均可发生[6]。研究分析过去一年本院拍摄的CBCT资料发现,骨岛在上下颌骨均可发生,发生率下颌高于上颌,上颌主要好发部位为前磨牙区,而下颌主要好发部位为前磨牙区和磨牙区,这与国内外部分学者的研究结果是一致的[7-8]。回顾分析国内外有关颌骨骨岛的文献发现,颌骨骨岛发生率约为1%~40%[1,7-9],发生率不存在年龄[5]和性别[8,10]差异。
 
  4.2骨岛对临床的影响
 
  临床上颌骨骨岛通常是常规X线检查时偶然发现的。骨岛是一种结构异常,而非肿瘤性或炎症性疾病,无须治疗。但有研究指出,骨岛现象可能对正畸治疗中的牙齿移动造成一定阻碍,并降低牙齿种植的成功率[11-13],因此,必须对其潜在的影响给予充分的认知和重视。
 
  4.3骨岛的影像学表现
 
  4.3.1骨岛的根尖片和全景片影像学表现
 
  观察根尖片或全景片可见,骨岛呈类圆形、卵圆形或不规则形,体部呈磨玻璃状、均匀的团块高密度影,偶见密度不均匀者及较低密度者,大小数毫米至2cm不等,有许多骨刺呈放射状向四周发出,边缘呈毛刷状、羽毛状[14-15]。无颌骨膨隆,位于颌骨中,犹如一孤立的小岛。可与邻近牙齿牙根粘连或孤立存在,与牙根粘连者,牙根周围可见清晰牙周膜影像。
 
  4.3.2骨岛的CBCT影像学表现
 
  CBCT颌骨骨岛上表现为呈类圆形、卵圆形或不规则形的高密度团块,与根尖片和全景片表现一致。但是相比根尖片和全景片,CBCT三维成像能直观地显示颌骨骨岛的立体解剖形态,对任何类型的颌骨骨岛,均可一目了然,尤其对发生在上颌以及较小的骨岛更具优势。CBCT能从冠状位、矢状位和水平位及其他多个方向反映颌骨骨岛与周围骨皮质、骨髓腔、上颌窦壁、鼻底、下牙槽神经管等解剖结构的关系,尤其是骨岛与邻近牙根关系,而根尖片和全景片不能准确地显示以上解剖关系。
 
  Geist等[10]根据颌骨骨岛与牙齿和硬骨板的位置关系,可将骨岛分为五类:①根间型,位于两根之间,且至少与其中一颗牙硬骨板相连;②孤立根间型,局限于两根之间,不与相邻牙的硬骨板相连;③孤立根尖型,位于两根尖部之间,且与相邻牙根和硬骨板明显分开;④完全孤立型,与牙齿和硬骨板完全分开;⑤根尖型,大部分区域集中位于根尖区。
 
  Y onetsu K等[16]根据骨岛与颌骨皮质和骨松质的关系,将骨岛分为两类:①内生骨疣型,某一特定区域,唇颊侧或舌腭侧骨皮质增厚;②中央硬化型,致密阻射区在髓质骨内;以上两种类型按骨岛密度均包含均质型和非均质型。
 
  4.4颌骨骨岛的影像鉴别诊断
 
  在影像学上,颌骨骨岛的鉴别至关重要,需与良性成牙骨质细胞瘤、根尖周牙骨质结构不良、致密性骨炎等多种病理状态进行精确的区分。这种鉴别过程对确保诊断的准确性和治疗的合理性具有重要意义。良性成牙骨质细胞瘤同样倾向于在下颌前磨牙区及磨牙区根尖周发生。在X线片检查中,其典型表现为与牙根紧密相连的类圆形高密度团块,其外围环绕一层密度较低的线条状影像,此特征被称为“光环征”[17-18]。在某些病例中,可见颌骨出现膨隆现象或肿瘤自颌骨颊侧或舌侧突出。相较之下,骨岛并不呈现“光环征”和颌骨膨隆的影像特征,它可能与牙根有粘连,也可能独立存在于颌骨内。根尖周牙骨质结构不良成熟期也可见根尖区小圆形高密度的影像,但高密度团块周围有低密度线条状影像与正常骨质相隔[19]。致密性骨炎与骨岛的鉴别具有一定的难度。然而,临床研究发现,致密性骨炎通常与牙髓感染或根尖周炎存在关联性,这一病理特点有助于其鉴别。相对而言,骨岛则无病原牙作为其发病的直接因素。若骨岛与牙根发生粘连,在经检查后发现相关牙齿的牙髓状态仍是活性的,这进一步证明了上述鉴别方法的有效性。
 
  4.5颌骨骨岛的治疗
 
  颌骨骨岛的治疗取决于患者病灶的大小和位置,以及病人的年龄和健康状况。在医疗实践中,对无症状的颌骨骨岛,通常无须采取特殊治疗措施,仅需进行定期观察,以确保其状态稳定。然而,当颌骨骨岛出现症状或影响患者的正常功能时,应根据患者实际病情,采取手术切除或其他微创治疗,以改善患者的健康状况[20]。
 
  4.6颌骨骨岛的预后评估
 
  临床研究分析发现,颌骨骨岛的预后普遍良好。在采取手术切除后,其复发率相对较低,使得多数患者能够顺利回归正常生活[21]。尽管颌骨骨岛属于罕见病症,但针对其病因、诊断方法、治疗策略以及预后情况的研究已有所积累。然而,由于颌骨骨岛的发病率较低,目前的研究仍有限。未来的研究可能需要探讨颌骨骨岛的发病机制、预防方法以及新型治疗手段。同时,对诊断方法的改进,特别是对早期诊断,也将有助于提高颌骨骨岛的治疗效果。在针对大型颌骨骨岛的治疗方案研究中,研究者正寻求发展更为微创的治疗技术,以最大程度减少患者的痛苦感受,并努力降低术后并发症的风险,从而确保治疗过程更为安全、有效,为患者带来更好的康复体验。
 
  参考文献
 
  [1]Mahka meh Moshfeghi,Fate me A zim i,Mehdi Anvari.Radiologic assessment and frequency of idiopathic osteosclerosis of jawbones:an interpopulation comparison[J].Acta Radiologi ca,2014,55(10):1239-1244.
 
  [2]K.Nakano,T.Ogawa,S.So bue,et al.Dense bone island:clinical features and possible complications[J].International Journal of Paediatric Dentistry,2002,12(6)::433-437.
 
  [3]A d a m G r e e n s p an.S c l e r o s i n g b o n e dysplasias—a target-site approach[J].Skeletal Radiology,1991,20(8):561-583.
 
  [4]Goaz PW,White SC.Oral radiology:principles and interpretation[J].Eur J Orthod,1994,31(2):214.
 
  [5]戴涛,邱鹏,刘敏,等.颌骨骨岛的影像学分析[J].成都医学院学报,2021,16(1):87-92.
 
  [6]徐笑强,查二南.牙源性病变的影像学诊断[J].医学影像学杂志,2012,22(5):832-833.
 
  [7]宋雪娟,王虎,刘媛媛,等.应用CBCT观察颌骨骨岛的发生特点和分布规律[J].临床口腔医学杂志,2017,33(8):463-466.
 
  [8]李娜,王虎,姜矇,等.颌骨骨岛的影像表现分析[J].华西口腔医学杂志,2014,32(1):58-61.
 
  [9]Miloglu Ozkan,Yalcin Ertan,Buyukkurt Mustafa-Cemil,et al.The frequency and characteristics of idiopathic osteosclerosis and condensing osteitis lesions in a Turkish patient population.[J].Medicina oral,pato logia or a l y c iru gia bucal,2009,14(12):640-645.
 
  [10]Geist J R,Katz J O.The frequency and distribution of idiopathic osteosclerosis.[J].Oral surgery,oral medicine,and oral pathology,1990,69(3):388-393.
 
  [11]孟庆琰,刘钧.正畸牙移动困难相关因素研究进展[J].口腔疾病防治,2021,29(5):340-345.
 
  [12]徐欣.口腔种植失败病例原因分析[J].中国实用口腔科杂志,2009,2(11):653-655.
 
  [13]Eriksson R.A.,Adell R..Temperatures during drilling for the placement of implants using the os seo integ ratio n tec h niq ue[J].W.B.Saunders,1986,44(1):4-7.
 
  [14]McDonnell D.Dense bone island:A review of 107 patients.[J].Oral surgery,oral medicine,and oral pathology,1993,76(1):124-128.
 
  [15]Masahiko Ikeuchi,Makoto Komatsu,Toshikazu Tani.Giant bone island of femur with femoral head necrosis:a case report[J].Archives of Orthopaedic and Trauma Surgery,2010,130(4):447-450.
 
  [16]Y o n et s u K,Yua sa K,K a n d a S.I dio pathi c osteosclerosis of the jaws:panoramic radiographic and computed tomographic findings.[J].Oral surgery,oral medicine,oral pathology,oral radiology,and endodontics,1997,83(4):517-521.
 
  [17]赵松波,李睿弢,叶胜强,等.牙瘤的临床病理特征及其影像表现[J].医学影像学杂志,2018,28(9):1442-1445.
 
  [18]孟桂云,张伟,段崇英.良性成牙骨质细胞瘤1例报告[J].医学影像学杂志,2001,11(3):150.
 
  [19]王虎.牙骨质结构不良的X线多样性表现与口腔临床相关性[J].华西口腔医学杂志,2017,35(6):565-570.
 
  [20]Capote-Moreno A.,Acero J.,Garcia-Recuero I.,Ruiz,J.,&Serrano,R.(2008).Gigantic peripheral osteoma of the mandible:A case report and review of the literature.Medicina Oral,Patologia Oral y Cirugia Bucal,13(5):E323-E326.
 
  [21]Sayan,N.B.,Q5ok,C.,Karasu,H.A.,&Güneri,P.(2002).Peripheral osteoma of the oral and maxillofacial region:A study of 35 new cases.Journal of Oral and Max illo facial Surgery,60(11):1299-1301.

文章出自SCI论文网转载请注明出处:https://www.lunwensci.com/yixuelunwen/80336.html

发表评论

Sci论文网 - Sci论文发表 - Sci论文修改润色 - Sci论文期刊 - Sci论文代发
Copyright © Sci论文网 版权所有 | SCI论文网手机版 | 鄂ICP备2022005580号-2 | 网站地图xml | 百度地图xml