Sci论文 - 至繁归于至简,Sci论文网。 设为首页|加入收藏
当前位置:首页 > 医学论文 > 正文

含血竭中成药中掺杂龙血竭的鉴别研究论文

发布时间:2020-06-24 11:27:45 文章来源:SCI论文网 我要评论














SCI论文(www.lunwensci.com):

摘要:目的建立以薄层色谱初筛,高效液相色谱-质谱验证相结合的方法,以检验含血竭中成药中掺杂的龙血竭。方法采用薄层色谱法,以硅胶G为固定相,乙醚为溶剂,以三氯甲烷-甲醇(19:1)为展开剂,在紫外光灯(365 nm)下检视筛查。采用高效液相色谱法,以十八烷基硅烷键合硅胶为填充剂,流动相为乙腈-0.1%冰醋酸(40:60),柱温30℃,检测波长280 nm,用紫外检测器进行检测,通过与龙血素A与龙血素B对照品色谱峰比对加以确证,以液质联用法对结果加以验证。结果在薄层色谱和液质联用验证结果一致情况下,19批样品中,有6批样品发现掺杂有龙血竭。结论该方法简单、快速、重复性好,可准确鉴定出含血竭中成药中是否掺杂有龙血竭。

关键词:薄层色谱;液质联用;龙血竭;血竭

本文引用格式:薛恒跃,邹亮,秦峥.含血竭中成药中掺杂龙血竭的鉴别研究[J].世界最新医学信息文摘,2019,19(66):36-38.

Identification Study of Resina Draconis Mixed into Traditional Chinese Medicine Containing Draconis Sanguis

XUE Heng-yue,ZOU Liang,QIN Zheng

(Dalian Institute For Drug Control,Dalian Liaoning)

ABSTRACT:Objective To establish an identification method using TLC as preliminary screen and HPLC-MS as verification to the detection of Resina Draconis mixed into traditional Chinese medicine containing Draconis Sanguis.Methods In the TLC method,silica gel G was used as a stationary phase,diethyl ether was used as the extraction solvent,and chloroform-methanol(19:1)was used as developing solvent,and the result was detected under ultraviolet lamp(365nm).In HPLC method,octadecylsilane bonded silica was used as a filler,acetonitrile-0.01%glacial acetic acid(40:60)was used as mobile phase.The column temperature was 30℃and the detection wavelength was 280 nm,ultraviolet detector was used to do the detection.Then the result was compared with the peak of the reference substance of loureirin A and loureirin B for confirmation.The results were further validated by the LC-MS.Results The results of the TLC were consistent with those of HPLC-MS.6 out of 20 batches of samples were proven to contain Resina Draconis.Conclusion The method is simple,rapid,reproducible,accurate,and can be used to detect Resina Draconis mixed into traditional Chinese medicine containing Draconis Sanguis.

KEY WORDS:TLC;HPLC-MS;Resina Draconis;Draconis Sanguis

0引言

血竭和龙血竭为不同科属药材,血竭为棕榈科植物麒麟竭Daemonorops draco Bl.果实渗出的树脂经加工制成,标准收载于《儿茶等43种进口药材质量标准》和《中国药典》2015年版一部[1]。龙血竭为百合科植物剑叶龙血树Dranaena cochinchinensis(Lour.)S.C.Chen的含脂木材经提取得到的树脂,标准收载于《国家药品标准》新药转正标准二十二册[2]。二者来源不同,化学成分相差很大,功效不完全相同,不能混用。但由于血竭常年依赖进口,价格昂贵,而龙血竭价格相对便宜,因此曾有在血竭中掺伪龙血竭,以次充好的情况发生[3]。我单位在对几种含血竭中成药品种进行检测的过程中,发现部分成药中掺杂了龙血竭,目前尚未见对含血竭中成药中掺杂龙血竭进行检测的文献报道,本实验采用薄层色谱法结合液质联用的方法,能准确鉴定出含血竭中成药中掺杂的龙血竭。为含血竭中成药的质量控制提供参考。

\

 
1仪器与试药

Agilent 1100 Series LC/MSD Trap SL,包括DAD检测器、电喷雾离子化源(ESI)及离子阱质谱检测器(美国Agilent公司);SK8200LH超声波清洗器(上海科导公司);CAMAG REPROSTAR 3薄层色谱照相系统(瑞士卡玛公司);硅胶G商品薄层板(烟台市化学工业研究所)。

龙血竭对照药材(批号:121252-200502),血竭对照药材(批号:120906-200609),龙血素A对照品(批号:111660-200402),龙血素B对照品(批号:111558-200405)均由中国食品药品检定研究院提供。样品:七厘散5批,七厘胶囊6批,接骨七厘散4批,大七厘散4批,均来源于产、供、用单位。乙腈为色谱纯,其余试剂均为分析纯,水为超纯水。

2薄层色谱鉴别

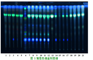
取样品粉末适量(相当于含血竭0.1 g),加乙醚10 mL,密塞,振摇10分钟,滤过,滤液作为供试品溶液。取龙血竭对照药材0.3 g、同法制成对照药材溶液。另取血竭对照药材0.1 g,同法制成阴性对照溶液。按照薄层色谱法《中国药典》2015年版四部通则0502试验,吸取上述溶液各5L,分别点于同一硅胶G薄层板上,以三氯甲烷-甲醇(19:1)为展开剂,展开,取出,晾干。置紫外光灯(365 nm)下检视。供试品色谱中,在与对照药材色谱相应的位置上,不得显相同的亮蓝色荧光主斑点。若出现相同颜色的斑点,则用下列高效液相色谱-质谱法验证。

\

 

1~5,7~12,14~21.供试品6.龙血竭对照药材13.血竭对照药材(阴性)结果显示,7~12号6批样品色谱中,在与龙血竭对照药材色谱相应的位置上,显相同的亮蓝色荧光主斑点,需要进一步验证。

3高效液相色谱法-质谱法验证

3.1色谱条件


色谱柱:AgilentTC-C18(150×4.6 mm,5µm);流动相:乙腈-0.1%冰醋酸(40:60);流速:0.6 mL·min-1;检测波长:280 nm;柱温:30℃。理论板数按龙血素B峰计算,应不低于5000。

3.2质谱条件

离子化方式:电喷雾离子化(ESI);扫描方式:负离子扫描,采用全扫描一级质谱,选择离子二级质谱(MS/MS),质核比范围100~1000 m/z,干燥气温度350℃,干燥气流速:8 L·min-1,雾化气压力207 kPa,分流比为2:1。

3.3对照品溶液

精密称取龙血素A、龙血素B对照品适量,加乙腈制成每1mL各含20µg的溶液,即得。

\

\

\
 



3.4供试品溶液

供试品溶液:取样品适量(相当于含血竭0.1 g),置25 mL量瓶中,加甲醇适量,超声处理(功率500 W,频率40 kHz)20分钟,放冷置室温,加甲醇稀释至刻度,摇匀,滤过,即得。

3.5专属性

选择薄层色谱呈阴性的样品,按供试品溶液方法制备,作为阴性对照溶液,进样,供试品色谱中,均未检出与对照品保留时间相同的色谱峰,且相应的一二级质谱图均与对照品不同。

3.6检出限

采用信噪比法,将龙血素A、龙血素B对照品溶液稀释1µg·mL-1的溶液,进样8l,液相色谱图信噪比为3,故龙血素A、龙血素B液相色谱检出限为8ng,进样1l,质谱总离子流图信噪比为3,故龙血素A、龙血素B质谱检出限为1ng。

3.7耐用性

分别采用3根不同商品规格的色谱柱:Agilent TC-C18 4.6mm×150mm,5.0m、Diamonsil C18 4.6mm×250mm,5.0m、资生堂SPOLAR C18 4.6mm×250mm,5.0m,进样测定,分离度良好,系统适用性试验符合要求。结果表明本方法耐用性良好。

3.8测定法

分别精密吸取对照品溶液与供试品溶液各2L,注入液相色谱仪,测定。供试品色谱中,应不得出现与对照品色谱保留时间相同的色谱峰。若出现保留时间相同的色谱峰,则相应的一级质谱及二级质谱均不得与对照品一致。

结果显示,6批样品的供试品色谱中,均出现与对照品色谱保留时间相同的色谱峰,见图2。龙血素A对照品在一级质谱中显示准分子离子峰[M-H]-,m/z 285,二级质谱中显示有m/z 270,120,134,149等碎片离子;龙血素B对照品在一级质谱中显示准分子离子峰[M-H]-,m/z 315,二级质谱中显示有m/z 120,134,149等碎片离子。供试品色谱中,相应色谱峰的一级质谱及二级质谱均与对照品一致,见图3、图4。同薄层色谱法检出结果相同。

由此可以认定在6批样品中含有龙血竭特征性成分龙血素A、龙血素B,结合薄层色谱鉴别的结果,可证明6批样品中掺杂有龙血竭药材。

4讨论

4.1龙血素A、龙血素B均属于二氢查尔酮,因此采用负离子扫描,可以得到很强的准分子离子峰[M-H]-,其二级质谱,最初可能发生一些小的中性碎片丢失,形成碎片离子如[M-H-CH3]-等,其它碎片形成则较为复杂[4]。

4.2本方法采用液相色谱法-质谱法验证过程中,未采用DAD检测器比较供试品和对照品相应色谱峰的光谱图,主要考虑供试品色谱图有可能出现较强的干扰峰,导致供试品色谱峰光谱与对照品不一致,而做出假阴性判断,因此直接采用质谱法测定,可以有效避免假阴性结果。

4.3本文采用薄层色谱结合液质联用的方法,首次鉴别含血竭中成药中掺杂龙血竭,方法直观准确,能有效用于相关品种的质量控制,保证用药安全。

4.4采用本方法,对各企业提供的血竭留样进行测定,在2批血竭中检出龙血竭。但原料血竭依照《中国药典》2015年版一部血竭标准检验,符合规定。由于目前缺乏相关质量控制方法,导致企业在不知情的情况下使用了掺杂有龙血竭的血竭原料。因此结合本方法,我单位正在起草血竭中非法添加龙血竭的补充检验方法。

参考文献

[1]国家药典委员会.中华人民共和国药典:一部[M].北京:中国医药科技出版社,2015:142.
[2]国家药典委员会.国家药品监督管理局药品标准新药转正标准:第二十二册[M].2002:651.
[3]任婧昱,张清波,姜文红.几种血竭掺伪品的鉴别研究[J].中医药信息,2006,23(6):31-32.
[4]Portet B,Fabre N,Rozenberg R,et al.Analysis of minor flavonoids in Piper hostmannianum var.berbicense using liquid chromatography coupled with atmospheric pressure chemical ionization mass spectrometry[J].J Chromatogr A,2008,1210(1):45.

关注SCI论文创作发表,寻求SCI论文修改润色、SCI论文代发表等服务支撑,请锁定SCI论文网!
文章出自SCI论文网转载请注明出处:https://www.lunwensci.com/yixuelunwen/18802.html

发表评论

Sci论文网 - Sci论文发表 - Sci论文修改润色 - Sci论文期刊 - Sci论文代发
Copyright © Sci论文网 版权所有 | SCI论文网手机版 | 鄂ICP备2022005580号-2 | 网站地图xml | 百度地图xml