SCI论文(www.lunwensci.com):
摘要:Castleman 病又称巨淋巴结增生或血管滤泡性淋巴样增生,临床较为少见,目前尚未清楚其病因和发病机制。此病影像学表现无特征性,较易出现误诊,临床医生需要提高对本病的认识。本文报道 1 例腹膜后 Castleman 病的病例资料,同时进行文献复习。
关键词:Castleman 病;病理;病例报告;文献复习
本文引用格式:周远利,关珊,杨英捷 . 腹膜后 Castleman 病 1 例及文献复习 [J]. 世界最新医学信息文摘,2018,18(71):175-176,183.
Retroperitoneal Castleman Disease: A Case and Literature Review
ZHOU Yuan-li, GUAN Shan, YANG Ying-jie △
(Guizhou Medical University, Guiyang, Guizhou)
ABSTRACT: Castleman disease, also known as giant lymph node hyperplasia or vascular follicular lymphoid hyperplasia, it is relatively rare in the clinic, the etiology and pathogenesis are not yet clear. The imaging features of this disease are not characteristic and are easy to be misdiagnosed, clinicians need to improve their understanding of the disease. This paper reports 1 cases of retroperitoneal Castleman disease and literature review.
KEYWORDS: Castleman disease; Pathology; Case report; Literature review
0引言
Castleman 病(castleman disease,CD)又称巨淋巴结增生(giant lymph nose hyperplasia )或血管滤泡性淋巴样增生(angiofollicular lymphoid hyperplasia),是临床上少见的一种表现不典型的淋巴组织异常增生性疾病,至今病因和发病机制尚不清楚,以外科报道多见,未见妇产科医师报道。此病临床少见、症状多样,影像学表现无特征性,较易误诊,因此需要临床医生提高对本病的认识,现将本院收治的 1 例 CD 病例资料报告如下。
1临床资料
1.1病史及查体
患者,女,48 岁,因“经量增多 3+ 年,不规则阴道流血 1+月”入院。患者于 3+ 年前无明显诱因出现月经量增多,自每天使用卫生巾 2-3 张增加至 5-6 张,无经期延长、月经周期延长,无腰骶部酸胀、痛经,未予重视。1+ 月前无明显诱因出现不规则阴道流血,无腹痛、腰骶部酸胀等不适,超声示:子宫多发肌瘤,子宫内膜增厚,卵巢包块(Ca 不能排除),行分段诊刮,病检:子宫内膜单纯性增生。盆腔 MRI:子宫多发肌瘤,子宫内膜局部增厚;左附件区囊实性占位;右附件区多发囊肿。查体:生命征平稳,心肺腹无特殊,妇科查体:外阴发育正常,阴道通畅,内见少量咖啡色分泌物,宫颈光滑,子宫增大如孕 4+ 月大小,形态不规则,边界清,活动可,质较硬,无压痛,双附件区均可扪及包块,左侧扪及一直径约 5cm 包块, 质较硬,边界较清,活动差,无压痛,右侧扪及一直径约 5cm 包块,质软,边界清,活动可,无压痛。

图
1
1.2辅助检查
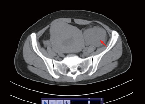
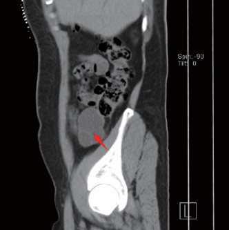
妇科超声:子宫大小 105×107×75mm,边界欠清,子宫壁见多个大小不等实性占位:考虑多发子宫肌瘤。左附件区一 64×45×93mm 实性团块,内见丰富血流信号:颗粒细胞瘤?下腹部 CT(如图 1-3):左附件区见团片状软组织密度影,边界清楚,大小约 5.7×6.6×10.7cm,周围脂肪间隙模糊,邻近腹膜稍增厚,见散在稍大淋巴结影(如图 1-3)。E2、肿瘤标志物(CA199、CA125、HE4)、胸部 CT、上中腹部 CT 等常规检查均无异常。 图 2

图
2
CT 表现 :病灶轮廓清楚,密度均匀。

图
3
1.3处理
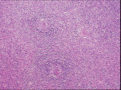
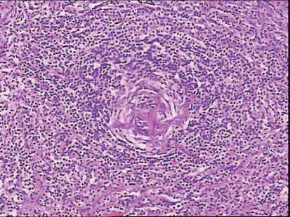
患者盆腔包块性质不明,手术指针明确,排除手术禁忌后行手术治疗。探查见:子宫增大如孕 4+ 月大小,表面凹凸不平 , 见数个直径约 0.5-5cm 肌瘤样凸起,色泽红润,质中, 右卵巢见一直径约 5cm 囊性包块,左侧输卵管见一直径约3cm 系膜囊肿,左侧盆壁腹膜后扪及一 4×7×5cm 实性包块, 余未见明显异常。故行全子宫+双附件+左侧盆壁腹膜后包块切除术。将切除的左盆壁腹膜后肿瘤送术中冰冻。切除后肉眼观察肿瘤:灰白色椭圆包块,4×7×5cm,表面见部分包膜,切面灰色实性质软,部分区域可见灰白色纤维条索及囊腔形成,囊腔直径 0.5-1.5cm,内为清凉液体,内壁光滑。冰冻病理示:淋巴组织增生性病变,倾向良性。术后常规病检示:Castleman 病(透明血管型)。免疫组化回示:CD20+, CD3+,CD45RO+,CD79a+,CD21+,CD34+,CD30 散 在 +, CD38+,CD138+,Ki67 10%+。见图 4-6。

图
4(
HE-X40)

图
5(
HE-X100)

图
6(
HE-X200)
病理表现:透明血管型,外套细胞增生呈“靶环状”排列, 靶环结构内见透明变性的小动脉。
2讨论
Castleman’s 在 1954 年首次报道了本病。迄今其病因和发病机制仍不明确,有大量研究 [1-4] 表明其发病可能与人类疱疹病毒 -8(HHV-8)和人类免疫缺陷病毒(HIV)感染、白细胞介素 -6(IL-6)过度分泌及免疫紊乱有关。CD 可发病于任何年龄,但目前研究证实大多数发病时间为 10-45 岁,无种族和性别差异。CD 临床表现复杂,临床特点及影像学特征均无特异性,主要依靠病理学诊断。临床上分为单一淋巴结受累的局灶型(localized Castleman disease, LCD)和多部位淋巴结受累的多中心型(multicentric Castleman disease, MCD),组织学上分为三种类型,透明血管型(hyaline vascular type,HV )、浆细胞型(plasma cell type,PC )及混合型(Mix)。依据其病理分型发病,透明血管型常见于 30 岁以下,病变多局限,临床症状不明显,常表现为局部压迫症状,一般无全身症状;浆细胞型多见于 50-60 岁,常有多部位淋巴结受累,为多中心型,全身症状往往较重,可有发热、贫血、消瘦、肝脾肿大等表现。LCD 通过手术治疗,预后一般较好 [5],而大部分 MCD 很难通过外科手术彻底清除病灶,术后还需要其他辅助治疗。目前尚无治疗 MCD 的标准方案,有研究证实 [6, 7]:CHOP 方案(环磷酰胺 + 多柔比星 + 长春新碱 + 泼尼松)化疗对 MCD 疗效显著,临床上也有报道其他方案如 CVP(环磷酰胺、长春新碱、强的松)、放疗、抗病毒治疗、免疫调节治疗、靶向治疗等治疗 MCD 有不同程度的疗效,但没有哪种方法证实具有广泛适应性和最佳治疗方案。
分析本病例,追问病史,患者扪及左下腹包块长达10 年之久, 未予重视,术前曾被考虑为卵巢癌可能。术中仔细辨认解剖结构, 确认该肿块来自左侧盆壁腹膜后。对于腹膜后 LCD,最有效的治疗方法是通过手术完整切除增生的淋巴结,且不需要切除相关脏器或补充放化疗 [8, 9]。该患者为 LCD,且已完整切除后腹膜肿大淋巴结,术后一周恢复良好,但远期预后仍需要继续追踪。
综上,CD 临床表现复杂多样,易误诊,最终需依靠组织病理学活检明确诊断 [10],LCD 通过手术治疗绝大多数可以治愈,而 MCD 很难通过外科手术彻底清除病灶,术后还需要其他辅助治疗,最佳辅助治疗方案仍在探索中。因此,在临床上,对于颈、胸、腹部淋巴结肿大患者,需要临床医师警惕与注意,避免漏诊、误诊。
参考文献:
[1]Mylona EE, Baraboutis IG, Lekakis LJ, et al. Multicentric Castleman’s disease in HIV infection: a systematic review of the literature[J]. AIDS Rev, 2008,10(1): 25-35.
[2]Nishi J, Maruyama I. Increased expression of vascular endothelial growthfactor (VEGF) in Castleman’s disease: proposed pathomechanism of vascular proliferation in the affected lymph node[J]. Leuk Lymphoma,2000, 38(3-4): 387-94.
[3]Fajgenbaum DC, van Rhee F, Nabel CS. HHV-8-negative, idiopathic multicentric Castleman disease: novel insights into biology, pathogenesis, and therapy[J]. Blood,2014,123(19):2924-33.
[4]Oksenhendler E, Carcelain G, Aoki Y, et al. High levels of human herpesvirus 8 viral load, human interleukin-6, interleukin-10, and C reactive protein correlate with exacerbation of multicentric castleman disease in HIV-infected patients[J]. Blood,2000,96(6):2069-73.
[5]傅熙博 , 付庆才 , 华向东,等 .castleman 病临床特征与诊疗分析 [J]. 中华医学杂志,2014(38):3017-3019.
[6]Zhu SH, Yu YH, Zhang Y, et al. Clinical features and outcome of patients with HIV-negative multicentric Castleman’s disease treated with combination chemotherapy: a report on 10 patients[J]. Med Oncol,2013, 30(1):492.
[7]罗云 , 王崇树 , 谢贤镛 .castleman 病 9 例报道 [J]. 中国普外基础与临床杂志,2016,23(2):234-236.
[8]刁德昌 , 彭俊生 , 杨祖立,等 . 腹膜后局灶性 castleman 病 8 例临床特点及治疗 [J]. 广东医学,2010,31(10):1296-1298.
[9]Seco JL, Velasco F, Manuel JS, et al. Retroperitoneal Castleman’s disease[J]. Surgery,1992,112(5):850-855.
[10]陈岚 , 强军 , 田燕晓 , 等 .Castleman 病的临床病理分析 [J]. 世界最新医学信息文摘,2015,15(a3):79-80.
《腹膜后Castleman病1例及文献复习论文》附论文PDF版下载:
http://www.lunwensci.com/uploadfile/2018/1020/20181020022609928.pdf
关注SCI论文创作发表,寻求SCI论文修改润色、SCI论文代发表等服务支撑,请锁定SCI论文网!
文章出自SCI论文网转载请注明出处:https://www.lunwensci.com/yixuelunwen/1254.html